What is a right heart catheterization?
A right heart catheterization, often called a “right heart cath,” is a procedure that measures the pressures in your heart and the blood vessels of your lungs. The right side of the heart pumps blood to the lungs, and a right heart cath helps evaluate how well the right heart performs this job. This helps your healthcare team understand how well both your heart and lungs are working.
Why do doctors order a right heart cath?
A right heart cath helps diagnose heart and lung conditions, including pulmonary arterial hypertension (PAH), and monitors any changes in the heart or the disease in general over time. Healthcare teams use this test when earlier, less invasive tests indicate that pressure may be building up in the right side of your heart.
While a right heart cath is specific to the right heart, specialists may order other heart catheterization procedures to measure pressures in different areas of the heart, like the left side.
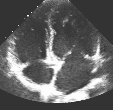
What does a right heart cath show that an Echo can’t?
Echocardiogram (“Echo”)
Echo is a common, noninvasive test that uses soundwaves (ultrasound) to create an image of your heart to measure its size and shape and how well it squeezes and relaxes.
Echo can’t directly measure the pressure in your heart—that’s something only a right heart cath can do.
Right heart cath
To get a more in-depth and accurate measure of the pressure in your heart and lungs, your specialist will use a right heart cath. It’s kind of like a suspicious mole: Your healthcare team can tell just by looking that the mole may not be normal, but they need to study the cells inside the mole before they know whether it’s something to be concerned about.
An Echo can indicate the need for a right heart cath to look more closely at the pressures in your right heart
Image showing what a catheter used during a right heart cath looks like, with a penny shown for scale.
What happens during a right heart cath?
A right heart cath is performed by a specially trained team in a hospital, usually in a room called a “cath lab.” You will be awake but may be given medicine to help you feel calm and comfortable. The procedure usually takes about an hour, but additional time may be needed before or after the procedure.
The team will numb a spot on your wrist or groin, then insert a thin, flexible tube (the catheter) into a vein. The catheter is then guided to your heart, where it collects the necessary measurements. After the procedure, the team removes the catheter and places a bandage over the spot where the catheter was inserted.
What do right heart cath results tell your specialist?
A right heart cath measures various pressures inside the right side of your heart and pulmonary artery (the main blood vessel in your lungs). The results of a right heart cath give your healthcare team important information that is valuable to treatment planning. Because your results can change in the future, a right heart cath may be repeated over time.
Understanding your results
Some of a right heart cath’s key measurements can tell you and your specialist a lot about your heart and lungs:
Click on the test name to display what part of the heart/lungs it asesses.
How difficult it is for blood to flow through the small vessels (arteries) in your lungs
Normal range: ≤2 WU; In PAH: >2 WU
The pressure inside the main blood vessel (the pulmonary artery) in the lungs
Normal range: 8-20 mm Hg; In PAH: >20 mm Hg
The pressure in the upper right heart chamber, which indicates the amount of blood returning to the heart from the body
Normal range: 2-6 mm Hg; In PAH: >6 mm Hg
An indirect measure of the pressure in the upper left chamber (the left atrium) of the heart
Normal range: 6-12 mm Hg; In PAH: ≤15 mm Hg
The amount of blood your heart is pumping each minute, which is a key sign of how well your heart and lungs are working together
CO normal range: 4-8 L/min; In PAH: <4 L/min
CI normal range: 2.5-4 L/min·m2; In PAH: <2.5 L/min·m2
Why can’t you measure pressures in the heart without a catheter?
You need a catheter because it can travel more safely through blood vessels to the heart and directly measure the pressure inside the heart’s chambers. This provides a level of accuracy other tests, including an Echo, can’t provide.
What pressures does a right heart cath measure versus a blood pressure cuff?
Unlike a blood pressure cuff around the arm that measures systemic (whole body) pressure, a right heart cath measures pressure inside the heart and lungs—taking the heart’s blood pressure from the inside. Blood pressure cuffs work by squeezing an artery in the arm to get a reading. It’s not possible to put a cuff around the heart, so right heart cath uses a different method to measure internal pressures. The numbers will probably seem low compared with arm blood pressure readings—that’s because heart pressures are naturally much lower.
How serious is a right heart cath? What are the risks?
A right heart cath is considered to be safe, but like any medical procedure, it does have potential risks. These can include a bruise and/or vein injury where the catheter was placed. While very rare, other complications can occur. Your healthcare team will review possible risks with you before the procedure. Be sure to ask them any questions you may have.
A closer look at right heart cath
Find the answers you need in a single resource that provides a preparation checklist for your right heart cath, a place to record important appointment information, and a list of vital questions to ask your healthcare team.
Download Right Heart Cath BrochureIt starts with imbalance
See how imbalances in one or more natural substances in the body can lead to changes in the lungs’ blood vessels and may eventually strain the heart. That’s why PAH treatment often involves several medication options to address the different imbalances.
How PAH Medications Work