Skip to main content

PAH Pathophysiology

PAH disease progression

Pulmonary arterial hypertension (PAH) is a rare and progressive disease that primarily affects the lung vasculature and small pulmonary arterioles.1,2 Normal pulmonary circulation occurs through a low-pressure, high-flow system that includes the lungs and heart.2 In PAH, progressive remodeling and the obliteration of the pulmonary arterioles cause increased pressures in the lungs.2 Although at first the heart adapts to pressure changes, the rising pulmonary pressures eventually lead to right heart ventricular dysfunction, heart failure, and death.3-5

Lung and heart changes during PAH progression

Lung progression

Normal

Pulmonary arteries*
Illustration of a Normal Pulmonary artery

Pulmonary arteries make up an extensive network in the lungs4

Pulmonary arteries have a healthy endothelium, allowing for normal perfusion4

Compensation

Pulmonary arteries*
Illustration of a compensation pulmonary artery

As PAH progresses, remodeling of the small to medium pulmonary arteries causes them to become narrow and stiff, restricting blood flow2,5

Microvessel loss leads to a mild increase in PVR and a moderate decrease in perfusion4

Failure

Pulmonary arteries*
Illustration of a failure in pulmonary arteries

Cell proliferation and obliterative remodeling in the pulmonary arteries lead to a severe increase in PVR and a severe decrease in perfusion4

*Images represent a pulmonary artery cross-section and perfusion in a pulmonary artery.4

Right heart progression

Normal

Right ventricle
Illustration of a Normal Right Ventricle

RV is thin-walled and has a normal CO due to healthy pulmonary circulation4

Compensation

Right ventricle
Illustration of a compensation right ventricle

RV hypertrophies and CO remains preserved

At this stage, there are no additional patient symptoms. Hemodynamics are only minimally affected, if at all4

Failure

Right ventricle
Illustration of failure in the right ventricle

Over time, the RV dilates, and CO is severely depressed, leading to right heart failure4,5

RV dysfunction in PAH

Although PAH is a disease of the lungs, it severely affects the right side of the heart―both anatomically and functionally―ultimately leading to right heart failure.2,5

Normal RV
RV hypertrophy (compensation)
RV failure (decompensation)
A closer look at a heart as it goes through RV dysfunction

Preservation of CO is critical in PAH6

PAH disease progression graph of relative changes
Adapted from Klinger JR. J Respir Dis. 2009;30(1):1-2.

PAH raises PVR and mPAP, placing strain on the RV2,4,5,7:

  • Narrowing of pulmonary arterioles increases PVR and mPAP2
  • RV initially adapts by working harder and remodeling to maintain CO, which delays symptoms4
  • This compensation is limited; as PVR continues to rise, CO decreases, especially during exertion7
  • Persistent high pressures lead to RV hypertrophy, decompensation, and reduced lung and systemic blood flow4
  • RV failure results in elevated RAP and decreased mPAP7
  • The progression ultimately leads to right heart failure, the primary cause of death in PAH1,2,8

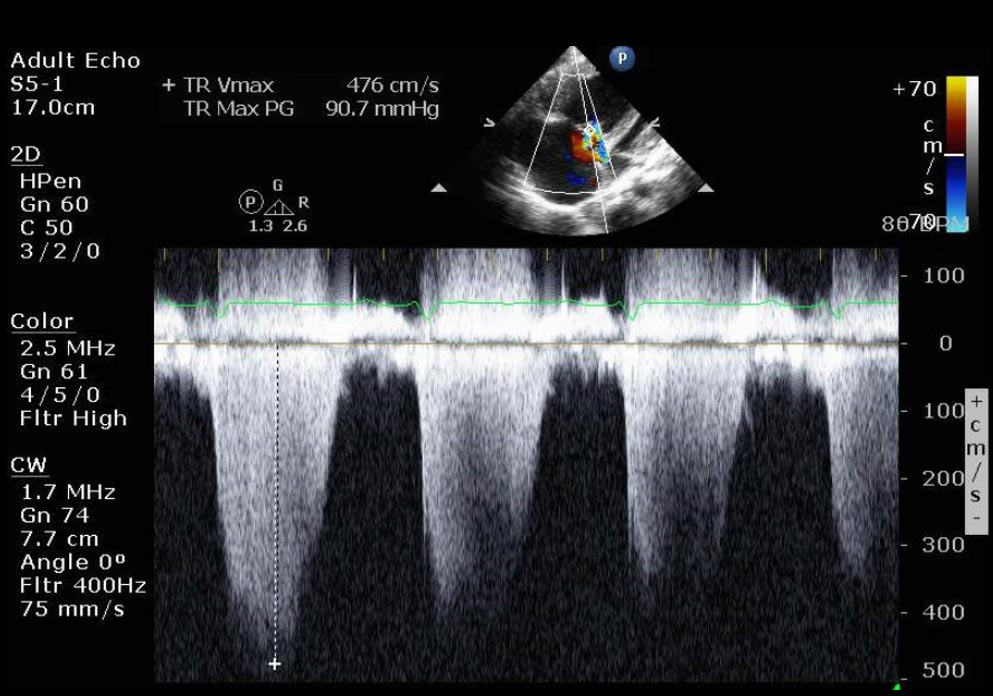
Echo imaging reveals right heart dilation

Echo provides essential visualization of right heart changes, aiding in detecting right heart dilation and dysfunction as the disease progresses.4,9

A doppler view of systolic pulmonary artery pressure with right dilation from PAH
An apical 4-chamber view of an echo showing right dilation from PAH
Images courtesy of Anjali Vaidya, MD, FACC, FASE, FACP. Pulmonary Hypertension, Right Heart Failure & CTEPH Program, Temple University Hospital.

Apical 4-chamber view

  • Paradoxical wall motion septum
  • Severe RV and RA dilation

Doppler: Systolic pulmonary artery pressure

  • RA pressure estimated to be 15 mm Hg due to noncompressible dilated inferior vena cava
  • Systolic pulmonary artery pressure: 96 mm Hg

Addressing the pathophysiology of PAH

When monitoring your patient’s response to treatment, remember that PAH is a progressive disease—even if outward symptoms are not evident. Proactive monitoring of the right heart is critical, as detrimental changes to the RV typically occur before declines are seen in a patient’s FC or 6MWD.10,11

Examine the sequence of changes in the right heart during PAH disease progression

The Right Heart in PAH
6MWD=6-minute walk distance; CO=cardiac output; Echo=echocardiogram; FC=functional class; LA=left atrium/left atrial; LV=left ventricle/left ventricular; mPAP=mean pulmonary arterial pressure; PVR=pulmonary vascular resistance; RA=right atrium/right atrial; RAP=right atrial pressure; RV=right ventricle/right ventricular.
References: 1. Humbert M, et al. Eur Heart J. 2023;44(15):1312. 2. Lai YC, et al. Circ Res. 2014;115(1):115‐130. 3. Gaine S, et al. Eur Respir Rev. 2017;26(146):170095. 4. Champion HC, et al. Circulation. 2009;120(11):992‐1007. 5. Tang H, et al. Circ Res. 2015;116(1):6‐8. 6. Miotti C, et al. Clin Med. 2021;10(4):619. 7. Klinger JR. J Respir Dis. 2009;30(1):1‐2. 8. Dardi F, et al. Eur Respir J. 2024;64(4):2401323. 9. Galiè N, et al. Eur Heart J. 2016;37(1):67‐119. 10. Besinque GM, et al. Am J Manag Care. 2019;25(3 suppl):S47‐S52. 11. Milks MW, et al. J Heart Lung Transplant. 2021;40(3):172‐182.
Various calculators on the PAH Risk Score Calculator app